こんにちは。
蕨駅から徒歩7分、アール歯科クリニック川口芝(蕨駅から徒歩7分)です。
皆様はむし歯の治療というと、どんなイメージをお持ちですか?
「削って詰める」「被せる」といったイメージをお持ちの方は多いと思いますが、どんな素材を選ぶかで、治療後の見た目や快適さ、そして将来的なお口の健康にも違いが出てくることをご存じでしょうか。
今回は、むし歯治療で使われる素材の種類と、それぞれの特徴についてお話しします。
むし歯治療で使われる主な素材
むし歯を削ったあとの歯は、詰め物や被せ物で補いますが、治療内容や部位によって、さまざまな素材が使われます。素材によって、保険が使えるもの・自費になるものがあり、見た目や耐久性などの特徴も異なります。
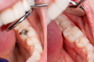
コンポジットレジン(白い詰め物)
歯の色に近く、比較的小さなむし歯に使われることが多い素材です。
銀歯(金属)
保険診療で使われることが多く、強度があります。
セラミック
天然歯に近い色調で、見た目が自然な白い素材です。
ジルコニア
強度が高く、奥歯など噛む力がかかる部分にも適しています。
ゴールド(金合金)
歯とのなじみが良く、長持ちしやすい素材です。

見た目の違いは意外と大きい?
前歯や笑ったときに見えやすい部分では、見た目に自然であることを重視される方が多くいらっしゃいます。白い素材(コンポジットレジンやセラミック)は周囲の歯となじみやすく、治療したことが分かりにくいのが特長です。
一方、銀歯は強度に優れていますが、口を開けたときに目立ちやすいという面があります。
治療する場所によって、見た目の印象は大きく変わります。

素材によって長持ちしやすさも変わります
素材によって長持ちしやすさも変わります。
実は、使用する素材によって、治療後の状態の保ちやすさに違いが出ることがあります。
たとえば、セラミックやジルコニアなどの素材は
・汚れが付きにくい
・変色しにくい
・歯とのすき間ができにくい
といった特徴があり、結果的に長く使いやすいことがあり、再治療を避けやすくなります。
また、噛む力が強い奥歯では、ジルコニアなど強度の高い素材を選ぶことで、欠けや割れのリスクを減らすことにもつながります。
費用だけで決めてしまっても大丈夫?
保険診療の素材は費用を抑えられるメリットがありますが、見た目や将来的な再治療の可能性など、考慮したい点もあります。
一方で、自費診療の素材は初期費用がかかるものの、長期的に見ると満足度が高いと感じられる方も少なくありません。
「今」だけでなく、「これから」を見据えて選ぶことが大切です。
自分に合った素材を選ぶために
むし歯治療の素材選びには、
・治療する部位
・噛み合わせ
・見た目のご希望
・ご予算
など、さまざまな要素が関わります。
アール歯科クリニック川口芝では、患者様のお話をしっかり伺いながら、一人ひとりに合った治療方法をご提案しています。
「どの素材がいいのか分からない」
「見た目も長持ちも大切にしたい」
そんな方も、どうぞお気軽にご相談ください。
🏢アール歯科クリニック川口芝 〒333-0866埼玉県川口市芝5丁目3−17
アール歯科クリニック川口芝へのお問合せはこちらからお願いいたします。
☎ 048-263-5115(お電話は診療時間内におかけください)
🌎インターネットでのご予約はこちらから24時間お待ちしています♪




